Poff Dental Associates
It's Your Smile, Wear It Confidently!

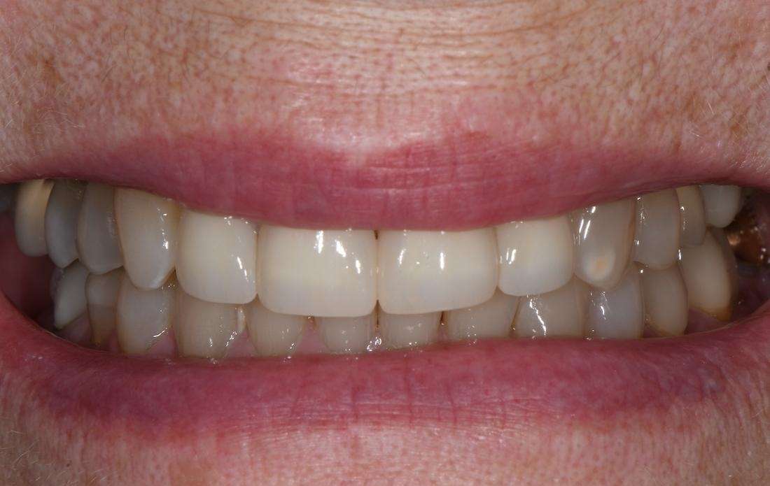
Spacing, Wear and Color

Fantastic patient presented for options to restore her Smile. she felt her gaps in the front along with her wear and discolorations were distracting from her smile. We were able to more evenly spread out the spacing and correct the gaps by adding more shape and volume to her teeth in her smile. That allowed us to correct her chief complaints with being as airway positive as possible. 

Not finding what you need?
If you have difficulty using our website, please email us or call us at (615) 662-2400
View the ADA Accessibility Statement